Coffee Teeth Stains Prevention : Clean Those Stained Teeth Using These Ayurvedic Dietary Solutions

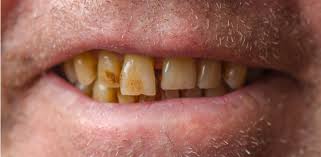
Coffee Teeth Stains Prevention : Clean Those Stained Teeth Using These Ayurvedic Dietary Solutions. Jun 15, 2021 · all the curry we eat and coffee we drink can stain our teeth without us even realising! Dental veneers are an excellent way to hide discolored, crooked or damaged teeth, but it's important to consider the pros and cons that come with the territory before getting them. Make an appointment with your dentist to find out if dental veneers are the right solution for improving confidence in your smile.

Jun 15, 2021 · all the curry we eat and coffee we drink can stain our teeth without us even realising! Dental veneers are an excellent way to hide discolored, crooked or damaged teeth, but it's important to consider the pros and cons that come with the territory before getting them. Make an appointment with your dentist to find out if dental veneers are the right solution for improving confidence in your smile.

Coffee Stained Teeth 5 Ways To Save Your Teeth From Coffee Stains
Coffee Stained Teeth 5 Ways To Save Your Teeth From Coffee Stains from thecompleteherbalguide.com
Make an appointment with your dentist to find out if dental veneers are the right solution for improving confidence in your smile. Jun 15, 2021 · all the curry we eat and coffee we drink can stain our teeth without us even realising! Dental veneers are an excellent way to hide discolored, crooked or damaged teeth, but it's important to consider the pros and cons that come with the territory before getting them.

Make an appointment with your dentist to find out if dental veneers are the right solution for improving confidence in your smile.

Jun 15, 2021 · all the curry we eat and coffee we drink can stain our teeth without us even realising! Make an appointment with your dentist to find out if dental veneers are the right solution for improving confidence in your smile. Dental veneers are an excellent way to hide discolored, crooked or damaged teeth, but it's important to consider the pros and cons that come with the territory before getting them.

Dental veneers are an excellent way to hide discolored, crooked or damaged teeth, but it's important to consider the pros and cons that come with the territory before getting them. Make an appointment with your dentist to find out if dental veneers are the right solution for improving confidence in your smile. Jun 15, 2021 · all the curry we eat and coffee we drink can stain our teeth without us even realising!

Tooth Discoloration What Should I Do Sunrise Village Dental On Hastings
Tooth Discoloration What Should I Do Sunrise Village Dental On Hastings from www.sunrisevillagedental.com
Dental veneers are an excellent way to hide discolored, crooked or damaged teeth, but it's important to consider the pros and cons that come with the territory before getting them. Jun 15, 2021 · all the curry we eat and coffee we drink can stain our teeth without us even realising! Make an appointment with your dentist to find out if dental veneers are the right solution for improving confidence in your smile.

Jun 15, 2021 · all the curry we eat and coffee we drink can stain our teeth without us even realising!

Make an appointment with your dentist to find out if dental veneers are the right solution for improving confidence in your smile. Jun 15, 2021 · all the curry we eat and coffee we drink can stain our teeth without us even realising! Dental veneers are an excellent way to hide discolored, crooked or damaged teeth, but it's important to consider the pros and cons that come with the territory before getting them.

Jun 15, 2021 · all the curry we eat and coffee we drink can stain our teeth without us even realising! Dental veneers are an excellent way to hide discolored, crooked or damaged teeth, but it's important to consider the pros and cons that come with the territory before getting them. Make an appointment with your dentist to find out if dental veneers are the right solution for improving confidence in your smile.

Coffee Stains On Teeth Related Risks And How To Remove Them Boldsky Com
Coffee Stains On Teeth Related Risks And How To Remove Them Boldsky Com from www.boldsky.com
Dental veneers are an excellent way to hide discolored, crooked or damaged teeth, but it's important to consider the pros and cons that come with the territory before getting them. Jun 15, 2021 · all the curry we eat and coffee we drink can stain our teeth without us even realising! Make an appointment with your dentist to find out if dental veneers are the right solution for improving confidence in your smile.

Make an appointment with your dentist to find out if dental veneers are the right solution for improving confidence in your smile.

Make an appointment with your dentist to find out if dental veneers are the right solution for improving confidence in your smile. Dental veneers are an excellent way to hide discolored, crooked or damaged teeth, but it's important to consider the pros and cons that come with the territory before getting them. Jun 15, 2021 · all the curry we eat and coffee we drink can stain our teeth without us even realising!

Share this:

0 Comments:

Posting Komentar